油红O脂肪染色实验外包:是一种在生物化学和病理学领域广泛应用的染色技术,主要用于显示组织或细胞内的脂肪成分。
一、油红O脂肪染色实验外包原理
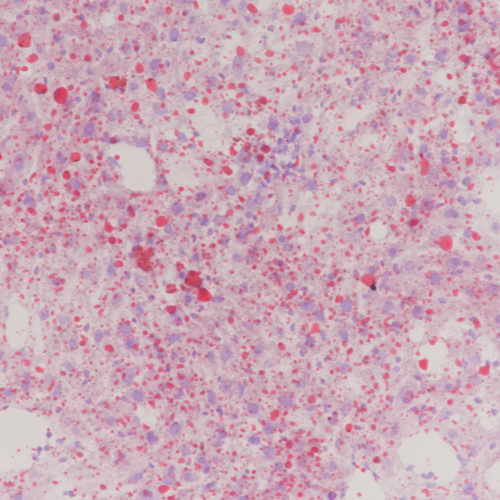
油红O是一种脂溶性染料,具有很强的脂溶剂和染脂剂的特性。它能够与组织和细胞内的中性甘油三脂、脂质以及脂蛋白发生特异性吸附作用,从而使脂肪呈现红色。在染色过程中,油红O染料从有机溶剂中转移到组织内的脂质中,使脂质显现出红色,而细胞核等其他成分则通过其他染色方法(如苏木素复染)呈现蓝色,从而便于观察和区分。
二、染色步骤
油红O脂肪染色法的基本步骤包括切片固定、染色、分化、复染和封片等环节。以下是一个典型的染色流程:
切片固定:将冰冻切片或细胞爬片进行固定处理,确保样本的稳定性和可染性。固定剂可以是4%多聚甲醛或其他合适的固定剂,固定时间根据实验需要而定。
染色:将固定好的切片或细胞爬片放入油红O染色液中,进行密闭染色。染色时间通常为10-15分钟,具体时间可根据实验条件和样本特性进行调整。在染色过程中,需要注意避光操作,以防止染料分解。
分化:染色完成后,使用适当浓度的酒精(如75%酒精)对切片进行分化处理,以去除多余的染料和背景色。分化时间要严格控制,以免过度分化导致脂肪滴颜色过浅。
复染细胞核:使用苏木素或其他合适的染料对切片进行复染,使细胞核呈现蓝色。复染时间也要根据实验条件进行调整,以确保细胞核染色清晰。
封片:最后,使用甘油明胶或其他合适的封片剂对切片进行封片处理,以保护切片并便于后续的观察和分析。
三、注意事项
染液配制:油红O染液的配制需要严格控制各成分的比例和浓度,以确保染色效果的一致性和稳定性。同时,染液应新鲜配制并避光保存,以防止染料分解和沉淀。
切片厚度:切片的厚度对染色效果有很大影响。一般来说,冰冻切片的厚度应控制在6-10μm之间,以确保脂肪滴能够充分显示并避免切片过厚导致的染色不均。
染色条件:染色过程中需要严格控制温度、湿度和光照等条件,以确保染色结果的准确性和可重复性。同时,还需要注意避免切片干燥和产生气泡等问题。
结果判读:染色完成后,应在显微镜下对切片进行仔细观察和分析。脂滴应呈现红色或橘红色,细胞核应呈现蓝色。根据染色结果可以判断组织或细胞内的脂肪含量和分布情况。





